About Orthodontics – Dr. Ketan Lipare’s Expertise

For most people, achieving a healthy, beautiful smile is the reason for seeking orthodontic care. If you’re self-conscious about your smile, correcting your concerns with braces under the expert care of Dr. Ketan Lipare can greatly enhance the way you look and feel.

Once your treatment is complete, you’ll have the confident smile you’ve always dreamed of. Dr. Ketan Lipare is committed to making you feel comfortable and supported throughout your orthodontic journey, ensuring you receive the highest quality of care and attention every step of the way.

Duration of Treatment

Orthodontic treatment duration under Dr. Ketan Lipare’s care typically ranges from one to three years, depending on multiple factors such as age, treatment method, and the complexity of your case.

Your commitment plays a key role — the more consistent and dedicated you are, the more efficient the results. Early or interceptive treatment for children can also significantly shorten the overall treatment time.

Before beginning, Dr. Ketan Lipare will thoroughly discuss all available options and provide an accurate estimate of the expected duration for your treatment. To learn more or book your consultation, feel free to contact the clinic and discover how orthodontic care can transform your smile.

How Orthodontic Treatment Works at Dr. Ketan Lipare’s Clinic

Orthodontic treatment at Dr. Ketan Lipare’s Clinic is a specialized branch of dentistry aimed at correcting irregularities in teeth alignment and jaw positioning, ultimately improving both oral health and aesthetic appearance. Several treatment modalities are available, each tailored to address the different needs and preferences of patients. Orthodontic appliances may be made of metal, ceramic, or plastic. They may be removable or they may be brackets bonded to the teeth. By placing a constant, gentle force in a carefully controlled direction, they slowly move teeth to a proper position.

Over the years, the field of orthodontics has grown vastly at Dr. Ketan Lipare’s Clinic, offering a wide range of treatment modalities for patients with unique malocclusion cases. While traditionally orthodontic treatment required metal or tooth-coloured brackets on the teeth to achieve necessary tooth movements, technological advances have introduced mildly visible and highly aesthetic systems to reach the same goals. Gone are the days when a metal band with a bracket was placed around each tooth. Patients can now opt for Clear Aligners instead of any bracket system for a seamless orthodontic experience. Aligners are far less noticeable, and the latest materials are designed to move teeth faster with greater comfort. At Dr. Ketan Lipare’s Clinic, any age is a great age to start your journey to a beautiful, healthy smile!

CRAFTING HEALTHY SMILES

Treatment

Deep Bite: Causes and Treatment at Dr. Ketan Lipare’s Clinic

A Deep Bite, often referred to as an overbite, is characterized by the excessive vertical overlap of the upper front teeth over the lower front teeth — where the upper front teeth cover too much of the lower front teeth. This condition requires professional correction by an experienced orthodontist like Dr. Ketan Lipare. It’s important to note that a deep overbite is commonly mistaken for excessive overjet, though the two are distinct.

At Dr. Ketan Lipare’s Clinic, it’s understood that a deep bite can negatively impact both jaw function and overall oral health. Teeth in such cases are often difficult to clean properly, increasing the risk of dental problems. In severe instances, the lower front teeth may bite into the gum tissue on the roof of the mouth, causing discomfort and potential injury. Chewing and speaking can also become difficult as the jaw’s normal function is compromised. Additionally, deep bites can affect facial aesthetics — the lips may not close naturally, leading to a misshapen appearance and an unbalanced profile.

Fortunately, Dr. Ketan Lipare offers highly effective treatments for deep bite correction, typically using braces or clear aligners to gradually move teeth into proper alignment. With modern orthodontic techniques available at the clinic, patients can expect improved function, better oral health, and enhanced facial harmony.

Open Bite: Causes and Treatment at Dr. Ketan Lipare’s Clinic

An Open Bite occurs when the upper and lower front teeth do not make contact while the back teeth are touching. This dental condition can lead to challenges in biting, chewing, swallowing, and often contributes to speech difficulties. Even when the mouth is closed, the lips may not meet properly, leaving an awkward appearance. Open bites can be caused by several factors including excessive thumb sucking, prolonged pacifier use, tongue thrusting, chronic mouth breathing, and hereditary influences.

If left untreated, an open bite can lead to jaw-related issues such as clicking, popping sounds, and persistent head, neck, or jaw pain. At Dr. Ketan Lipare’s Clinic, open bites are effectively treated using advanced orthodontic solutions like braces and clear aligners. In severe cases, surgical intervention might be recommended. However, Dr. Ketan Lipare specializes in modern, alternative treatment techniques designed to correct open bites and, in many cases, reduce or eliminate the need for surgery — offering patients a more comfortable and effective path to a balanced, healthy smile.

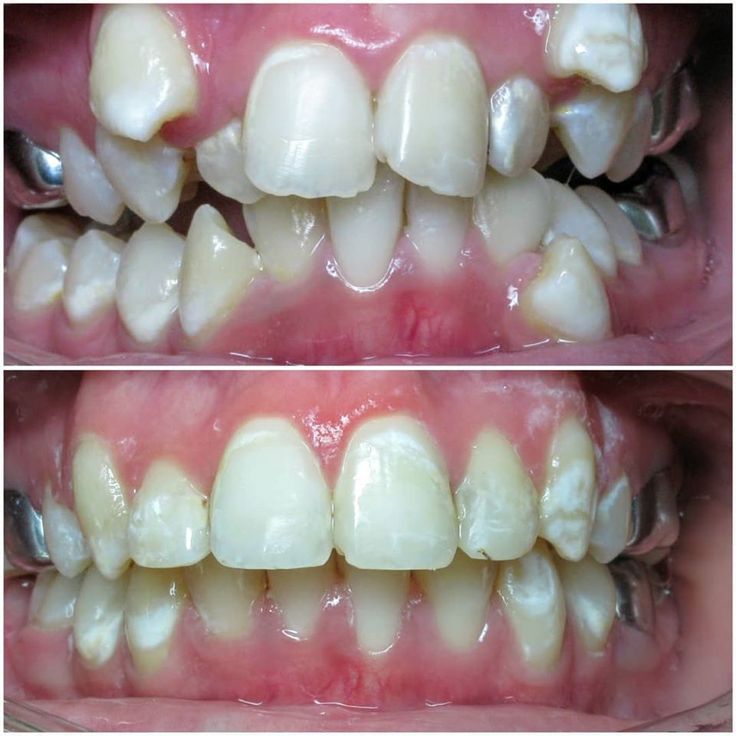
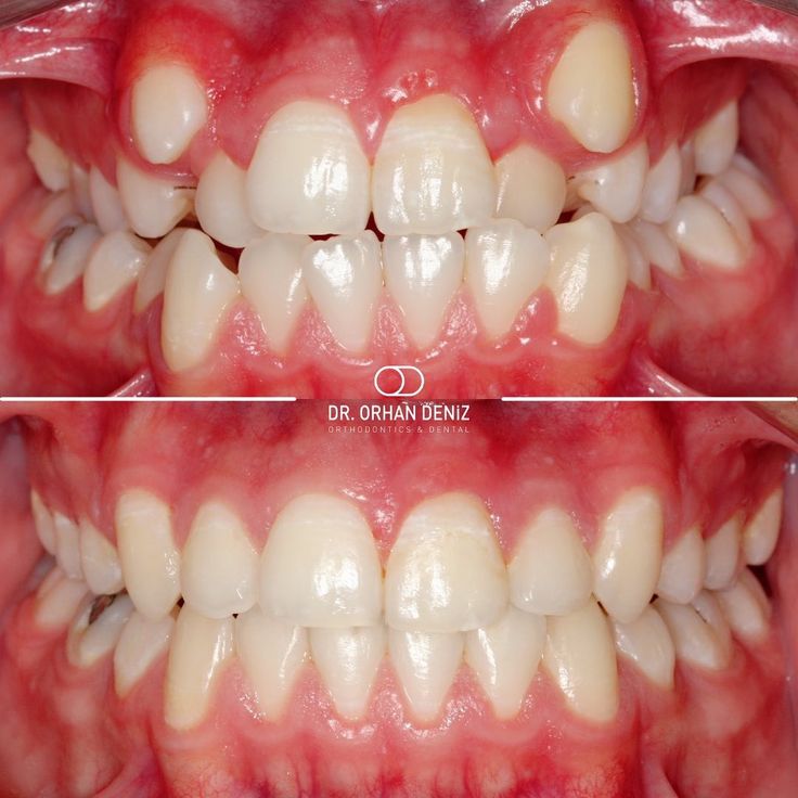
Crowding – Causes & Treatment

Crowding occurs when there is too little space in the jaw, causing teeth to rotate or overlap. This condition can lead to malocclusions and often requires specialized attention from the best orthodontist. At Dr. Ketan Lipare’s best orthodontic clinic, we understand that crowding may be hereditary or develop due to habits like thumb sucking, nail biting, clenching, or grinding. Crowded teeth are not only hard to clean but also increase the risk of tooth decay and gum disease. Our clinic offers comprehensive treatments using metal braces, ceramic braces, and self-ligating braces. We also provide age-specific solutions like kids braces, adult braces, and myofunctional treatment for kids. For those seeking discreet options, we offer clear aligners, Invisalign (at our Invisalign certified clinic), and lingual braces for virtually invisible treatment, making us the best invisible braces clinic and best aligner clinic. In addition, Dr. Ketan Lipare is known for best smile designing, and the clinic is a trusted name for veneers and cosmetic dentistry. Whether you’re looking for functional correction or aesthetic enhancement, trust the best braces clinic to transform your smile with expert care.

Spacing Causes and Treatment​​

Under ideal conditions, there should be no gaps between the teeth. Spacing refers to the presence of unwanted gaps, and is essentially the opposite of crowding. This condition is commonly caused by factors such as a large tongue, excess tongue pressure pushing teeth forward, or a mismatch between tooth size and jaw size. Excessive spacing can lead to unwanted tooth movement, food lodgement between teeth, and in some cases, lisping while speaking. At Dr. Ketan Lipare’s best orthodontic clinic, spacing issues are effectively treated using advanced orthodontic solutions. Whether it’s self-ligating braces, metal braces, ceramic braces, or discreet options like clear aligners, Invisalign (at our Invisalign certified clinic), or lingual braces, we ensure personalized care for lasting results. Known as the best braces clinic and best aligner clinic, Dr. Ketan Lipare also specializes in smile designing, offering comprehensive solutions to enhance both function and aesthetics of your smile.

Excess Overjet Causes and Treatment​

Overjet refers to the horizontal distance between the upper and lower front teeth. When this distance is excessive, the upper front teeth protrude significantly beyond the lower front teeth — a condition often mistaken for a deep bite. Excess overjet requires timely intervention from an experienced orthodontist.

At Dr. Ketan Lipare’s best orthodontic clinic, we treat excess overjet using a range of modern orthodontic options. This condition is commonly caused by habits like thumb sucking or prolonged pacifier use during childhood. It may also result from crowded teeth that push the upper front teeth outward. Left untreated, an excess overjet increases the chances of dental trauma, difficulty in biting food, and can even affect an individual’s confidence and social wellbeing.

Dr. Lipare, a leading orthodontist, provides tailored treatment with metal braces, ceramic braces, self-ligating braces, and clear aligners through our Invisalign certified clinic. In more severe cases, orthodontic surgery may be required. With a strong focus on smile designing, cosmetic dentistry, and holistic care, our clinic ensures the best outcomes for both kids and adult braces needs.

Negative Overjet Causes and Treatment​

A negative overjet, commonly known as an underbite, occurs when the lower front teeth extend beyond the upper front teeth. This condition often causes the lower jaw and chin to protrude, leading to an unbalanced facial profile. The misalignment between the upper and lower front teeth and jaws makes biting and chewing food difficult, and in severe cases, it can also result in speech impediments. Negative overjet is primarily hereditary, but it can also develop due to improper alignment of baby teeth. At Dr. Lipare’s best orthodontic clinic, we offer advanced treatments to correct this condition. As a best orthodontist, Dr. Lipare uses options like metal braces, ceramic braces, self-ligating braces, and clear aligners offered at our Invisalign certified clinic. For children, early intervention with myofunctional treatment and kids braces can help guide jaw development. In more severe cases, surgical correction may be necessary to achieve proper jaw alignment. With expertise in smile designing, cosmetic dentistry, and functional corrections, Dr. Lipare provides a comprehensive approach for both aesthetic enhancement and improved oral health

Crossbite Causes and Treatment​

A crossbite occurs when the upper teeth sit inside the lower teeth instead of outside. This type of misalignment can interfere with proper chewing and overall function of the teeth. In many cases, it’s caused by uneven jaw growth, which may lead to an unbalanced facial appearance. If left untreated, a crossbite can increase the risk of TMJ (temporomandibular joint) disorders, with symptoms such as jaw pressure, headaches, neck pain, and cheek discomfort. It can also leave the jaw in a strained or awkward position during everyday activities like eating or speaking.

At Dr. Lipare’s best orthodontic clinic, crossbites are diagnosed with precision and corrected using customized orthodontic solutions. Common causes include mouth breathing, sinus issues, hereditary factors, and delayed loss of baby teeth. Dr. Lipare, recognized as one of the best orthodontists, treats crossbites using metal braces, ceramic braces, self-ligating braces, or clear aligners at our Invisalign certified clinic. For younger patients, early intervention with myofunctional treatment and kids braces helps guide proper jaw development and prevent worsening of the condition.

As the best clinic for invisible braces, smile designing, and cosmetic dentistry, Dr. Lipare ensures both functional correction and an improved aesthetic outcome — helping you achieve a healthier, more confident smile.

Gummy Smile Causes and Treatment

A gummy smile is characterized by the visibility of excessive gum tissue when a person smiles. While this can be subjective, ideally only 1–2 mm of gum tissue should show, with your teeth occupying about 90% of the visible smile and gum tissue around 10%. When this balance is disrupted, it can affect both the aesthetics and confidence of a person’s smile.

At Dr. Lipare’s best orthodontic and cosmetic dental clinic, we specialize in diagnosing and treating gummy smiles with a personalized approach. The most common cause is excess gum tissue around the necks of the teeth, often in both children and adults. This is easily treated using a soft tissue laser to gently reshape the gum line. Another cause is the vertical overgrowth of the upper jaw, which may be corrected either by intruding the upper arch using TADs (temporary anchorage devices) or, in more severe cases, through orthognathic surgery.

Supraerupted Teeth Causes and Treatment

Supraerupted teeth occur when an opposing tooth is lost prematurely—usually due to trauma or extraction from decay. Most commonly, when a lower back tooth is missing, the upper tooth begins to over-erupt into the empty space. This can interfere with proper biting and chewing.

At Dr. Lipare’s best orthodontic clinic, we treat this issue with advanced solutions. Traditional braces often can’t manage supraeruption effectively, which is why we use TADs (Mini Implants). These provide stable anchorage to reposition the supraerupted tooth back into its correct alignment.

Once realigned, the missing tooth can be replaced, restoring a proper bite and improving both function and smile aesthetics. With expertise in braces, TADs, cosmetic dentistry, and smile designing, Dr. Lipare ensures complete care for long-lasting results.

Missing Teeth Causes and Treatment

The most common cause of missing teeth is heredity. Other factors include traumatic injuries or extraction due to tooth decay. If not addressed, the neighboring teeth can shift into the gaps left by missing teeth, leading to difficulties in chewing and affecting overall dental function. Additionally, the spaces caused by missing teeth often impact the appearance of your smile.

Treatment for missing teeth varies based on individual goals and needs. One approach is orthodontic consolidation of teeth and spaces, creating room for implants, crowns, or bridges. Alternatively, spaces can be closed orthodontically, potentially eliminating the need for implants or bridges altogether. Dr. Lipare is renowned for his expertise in the interdisciplinary treatments necessary to effectively manage and correct these orthodontic challenges.

Surgical Orthodontic Treatment by Dr. Lipare – Your Trusted Expert

In treating dental abnormalities such as bad bites (malocclusion) and crooked teeth, the best orthodontist plays a vital role. While most tooth alignment issues are managed by an orthodontist, jaw abnormalities often require correction by an oral & maxillofacial surgeon. When both problems coexist, Dr. Lipare, working closely with surgical specialists, provides comprehensive care at the best orthodontic clinic to restore both function and aesthetics.

This collaborative approach ensures thousands of adults and children achieve straight teeth, bright smiles, and balanced facial symmetry — hallmarks of the best smile designing results.

What Treatment Is Used?

Patients typically begin with an initial phase of orthodontic treatment lasting 4 to 12 months to align the teeth, using options such as metal braces, ceramic braces, self-ligating braces, kids braces, or adult braces — tailored to individual needs. Dr. Lipare’s best braces clinic offers these advanced options to prepare teeth for surgery.

Surgery is scheduled only after proper tooth alignment. During surgery, orthodontic appliances remain in place to stabilize teeth and jawbones. Post-surgery, follow-up orthodontic treatment completes the process, ensuring perfect alignment and enhanced facial harmony.

Can Surgery Be Avoided?

In children, timely intervention with myofunctional treatment for kids and orthodontic appliances can sometimes guide jaw growth, reducing the need for surgery. Dr. Lipare’s best invisible braces clinic and best aligner clinic (including Invisalign certified clinic) utilize cutting-edge techniques to encourage natural development.

For adults, where jaw growth is complete, surgery often remains the most effective option to correct jaw and bite discrepancies.

Are There Any Risks?

Surgical orthodontic treatments carry standard surgical risks, which Dr. Lipare and the surgical team carefully explain to ensure patient comfort and confidence. These procedures are routinely performed in clinics and hospitals, backed by years of experience at the best cosmetic dentist facility.

What Are the Rewards?

Successful surgical orthodontic treatment leads to improved dental health, elimination of bad bites, and correction of crooked teeth. Jaw function and facial profile become stable, functional, and aesthetically pleasing. The greatest reward? A more beautiful, healthier, and happier you — proudly delivered by Dr. Lipare’s best clinic for veneers and smile solutions.

What Problems Does Surgical Orthodontics Best Correct?

Jawbone discrepancies stem from heredity, trauma, or developmental issues. Common problems treated include:

Jaw-Joint-Clenching and TMJ Disorders

TMJ disorders affect the jaw joint and surrounding muscles, causing stiffness, headaches, ear pain, bite problems, clicking sounds, or locked jaws. These may result from:

  • Teeth grinding and clenching (bruxism) — often unnoticed unless observed during sleep or dental exams.

  • Habits like habitual gum chewing or fingernail biting.

  • Dental misalignment (malocclusion), making it difficult to find a comfortable bite.

  • Trauma from previous jaw or facial fractures.

  • Stress, which increases muscle tension and teeth grinding.

Treatment Options at Dr. Ketan Lipare’s Clinic:

  • Heat therapy and medication: To reduce muscle tension and spasms.

  • Laser therapy and massage: To alleviate pain and improve joint movement.

  • Stress management: Psychological counseling, support groups, and biofeedback to control muscle activity.

  • Occlusal therapy: Custom-made acrylic splints (night guards) to balance bite and reduce bruxism.

  • Correction of bite abnormalities: Orthodontics, dental restorations, and adjustments to bridges or crowns for a stable bite.

  • Surgery: Reserved for severe cases where medical therapy fails — procedures may include TMJ arthroscopy, ligament tightening, joint restructuring, or replacement.

Dr. Ketan Lipare’s best orthodontic clinic combines expertise and advanced technology to deliver personalized care — from metal braces to invisible aligners, ensuring the best outcomes for every patient.

Smile Designing

At Dr. Ketan Lipare’s advanced orthodontic and cosmetic dental clinic, Smile Designing is more than just enhancing appearance — it’s about creating harmony between facial features, dental health, and personal confidence. With a meticulous approach backed by years of expertise, Dr. Ketan Lipare combines digital diagnostics, orthodontic treatment, veneers, teeth whitening, and cosmetic contouring to craft a smile that complements your personality and facial structure. Whether you’re looking to close gaps, correct alignment, fix chipped teeth, or brighten your smile, our personalized Smile Design plans are tailored to your unique needs. Experience the perfect blend of artistry and dental science — because every smile we design tells a story of transformation.